• Home
  • About
  • People
  • Publications
  • News
  • Events
  • Join
  • Contact

On this page

  • Original Publications
  • Reviews

Publications

Check out our latest publications.

Original Publications

STEED: A data mining tool for automated extraction of experimental parameters and risk of bias items from in vivo publications.

STEED: A data mining tool for automated extraction of experimental parameters and risk of bias items from in vivo publications.
Zurrer WE, Cannon AE, Ewing E, Brüschweiler D, Bugajska J, Hild BF, Rosso M, Reich DS, Ineichen BV
PLoS One 19(11): e0311358 (2024)
1

journal URL

Which experimental factors govern successful animal-to-human translation in multiple sclerosis drug development? A systematic review and meta-analysis.

Which experimental factors govern successful animal-to-human translation in multiple sclerosis drug development? A systematic review and meta-analysis.
Berg I, Härvelid P, Zürrer WE, Rosso M, Reich DS, Ineichen BV
eBioMedicine 110: 105434 (2024)
2

journal URL

Systematic review and meta-analysis of preclinical studies.

Systematic review and meta-analysis of preclinical studies.
Ineichen BV, Held U, Salanti G, Macleod MR, Wever KE
Nature Reviews Methods Primers 4(1), 72 (2024)
3

journal URL

NeuroTrialNER: An Annotated Corpus for Neurological Diseases and Therapies in Clinical Trial Registries

NeuroTrialNER: An Annotated Corpus for Neurological Diseases and Therapies in Clinical Trial Registries
Doneva SE, Ellendorff TR, Sick B, Goldman JP, Cannon AE, Schneider G, Ineichen BV
EMNLP (2024) (2024)
4

journal URL

Analysis of animal-to-human translation shows that only 5% of animal-tested therapeutic interventions obtain regulatory approval for human applications

Analysis of animal-to-human translation shows that only 5% of animal-tested therapeutic interventions obtain regulatory approval for human applications
Ineichen BV, Furrer E, Grüninger SL, Zürrer WE, Macleod MR
PLoS Biol 22(6):e3002667 (2024)
5

journal URL

Myelin bilayer mapping in the human brain in vivo.

Myelin bilayer mapping in the human brain in vivo.
Baadsvik EL, Weiger M, Froidevaux R, Schildknecht CM, Ineichen BV, Pruessmann KP.
Magnetic resonance in medicine. Online ahead of print. 2024. (2024)
6

journal URL

Cytotoxic lesions of the corpus callosum: a systematic review.

Cytotoxic lesions of the corpus callosum: a systematic review.
Moors S, Nakhostin D, Ilchenko D, Kulcsar Z, Starkey J, Winklhofer S, Ineichen BV
European Radiology. Online ahead of print. 2023. (2023)
7

journal URL

The Brainbox - a tool to facilitate correlation of brain magnetic resonance imaging features to histopathology.

The Brainbox - a tool to facilitate correlation of brain magnetic resonance imaging features to histopathology.
Faigle W, Piccirelli M, Hortobágyi T, Frontzek K, Cannon AE, Zürrer WE, Granberg T, Kulcsar Z, Ludersdorfer T, Frauenknecht KBM, Reimann R, Ineichen BV
Brain Communication. 5(6): fcad307. 2023. (2023)
8

journal URL

Quantitative magnetic resonance mapping of the myelin bilayer reflects pathology in multiple sclerosis brain tissue.

Quantitative magnetic resonance mapping of the myelin bilayer reflects pathology in multiple sclerosis brain tissue.
Baadsvik EL, Weiger M, Froidevaux R, Faigle W, Ineichen BV*, Pruessmann KP*
Science Advances, 9(32):eadi0611. Epub 20230811. 2023. (2023)
9

journal URL

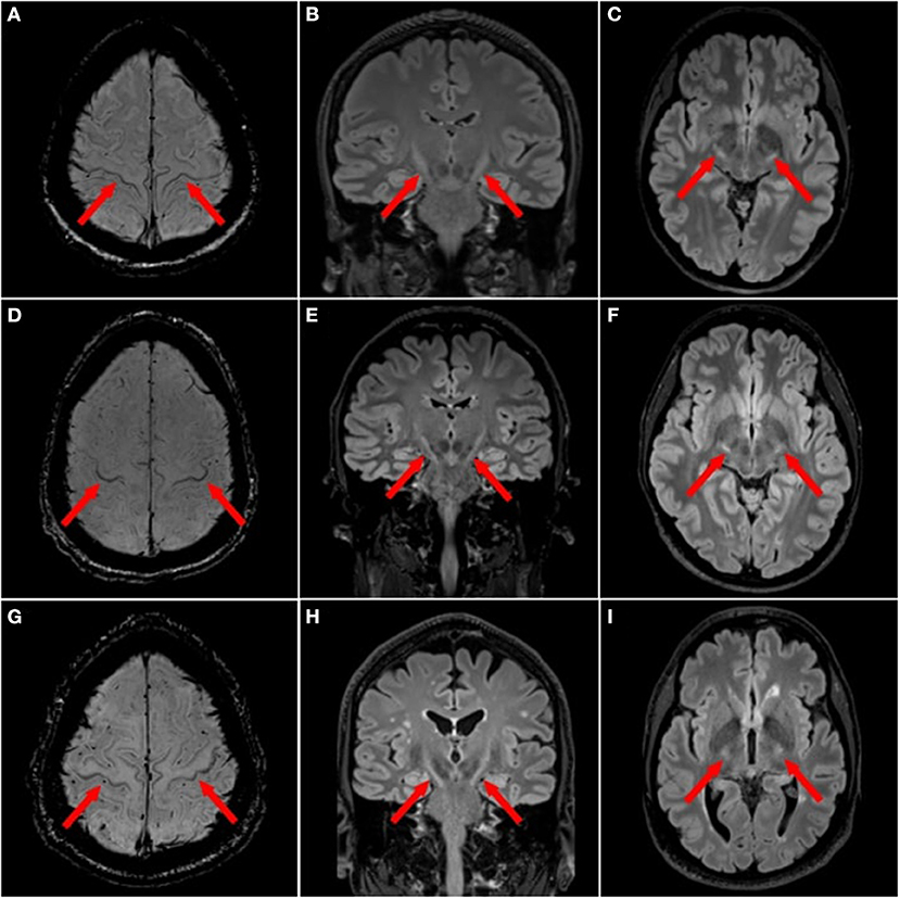
Virchow-Robin spaces are a marker for arterial disease in multiple sclerosis.

Virchow-Robin spaces are a marker for arterial disease in multiple sclerosis.
Ineichen BV, Cananau C, Plattén M, Ouellette R, Moridi T, Frauenknecht KBM, Okar SV, Kulcsar Z, Kockum I, Piehl F, Reich DS, Granberg T. Dilate
EBioMedicine, 92:104631. Epub 20230528. 2023. (2023)
10

journal URL

Neuroimaging findings in preclinical amyotrophic lateral sclerosis models-How well do they mimic the clinical phenotype? A systematic review.

Neuroimaging findings in preclinical amyotrophic lateral sclerosis models-How well do they mimic the clinical phenotype? A systematic review.
Cannon AE, Zürrer WE, Zejlon C, Kulcsar Z, Lewandowski S, Piehl F, Granberg T, Ineichen BV*
Frontiers in Veterinary Sciences, 10:1135282. Epub 20230502. 2023. (2023)
11

journal URL

Auto-STEED: A data mining tool for automated extraction of experimental parameters and risk of bias items from in vivo publications

Auto-STEED: A data mining tool for automated extraction of experimental parameters and risk of bias items from in vivo publications
Zürrer WE, Cannon AE, Ewing E, Brüschweiler D, Bugajska J, Hild BF, Rosso M, Reich DS, Ineichen BV
biorxiv (2023)
12

journal URL

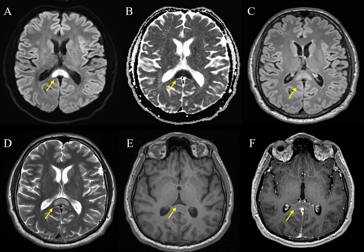
The etiology and evolution of magnetic resonance imaging-visible perivascular spaces: Systematic review and meta-analysis.

The etiology and evolution of magnetic resonance imaging-visible perivascular spaces: Systematic review and meta-analysis.
Okar SV, Hu F, Shinohara RT, Beck ES, Reich DS, Ineichen BV
Frontiers in neuroscience, 17:1038011. 2023. (2023)
13

journal URL

Evidence for HARKing in mouse behavioural tests of anxiety

Evidence for HARKing in mouse behavioural tests of anxiety
Rosso M, Herrera A, Würbel H, Voelkl B
bioRxiv (2022) (2022)
14

journal URL

Handling method affects measures of anxiety, but not chronic stress in mice.

Handling method affects measures of anxiety, but not chronic stress in mice.
Novak J, Jaric I, Rosso M, Rufener R, Touma C, Würbel H
Sci Rep 12, 20938 (2022) (2022)
15

journal URL

The rearing environment persistently modulates mouse phenotypes from the molecular to the behavioural level

The rearing environment persistently modulates mouse phenotypes from the molecular to the behavioural level
Jaric I, Voelkl B, Clerc M, Schmid M, Novak J, Rosso M, Rufener R, Kortzfleisch V, Richter S, Buettner M, Bleich A, Amrein I, Wolfer D, Touma C, Sunagawa S, Würbel H
PLoS biology 20.10 (2022): e3001837 (2022)
16

journal URL

Structural magnetic resonance imaging findings and histopathological correlations in motor neuron diseases-A systematic review and meta-analysis

Structural magnetic resonance imaging findings and histopathological correlations in motor neuron diseases-A systematic review and meta-analysis
Zejlon C, Nakhostin D, Winklhofer S, Pangalu A, Kulcsar Z, Lewandowski S, Finnsson J, Piehl F, Ingre C, Granberg T*, Ineichen BV*
Frontiers in Neurology, 13:947347. Epub 20220830. 2022. (2022)
17

journal URL

Do multiple experimenters improve the reproducibility of animal studies?

Do multiple experimenters improve the reproducibility of animal studies?
Kortzfleisch V, Ambrée O, Karp N, Meyer N, Novak J, Palme R, Rosso M, Touma C, Würbel H, Kaiser S, Sachser N, Richter S
PLoS biology, 20(5), e3001564 (2022) (2022)
18

journal URL

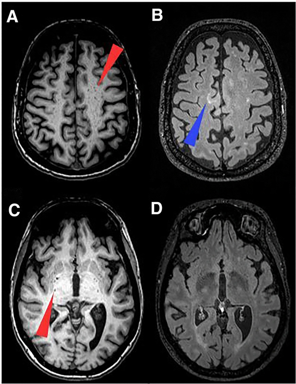
Leptomeningeal enhancement in multiple sclerosis and other neurological diseases: A systematic review and Meta-Analysis.

Leptomeningeal enhancement in multiple sclerosis and other neurological diseases: A systematic review and Meta-Analysis.
Ineichen BV*, Tsagkas C*, Absinta M, Reich DS
NeuroImage Clinical, 33:102939. Epub 20220110. 2022. (2022)
19

journal URL

Neuroimaging phenotypes of CSF1R-related leukoencephalopathy: Systematic review, meta-analysis, and imaging recommendations.

Neuroimaging phenotypes of CSF1R-related leukoencephalopathy: Systematic review, meta-analysis, and imaging recommendations.
Mickeviciute GC, Valiuskyte M, Plattén M, Wszolek ZK, Andersen O, Danylaité Karrenbauer V, Ineichen BV*, Granberg T*
Journal of internal medicine, 291(3):269-82. Epub 20211222. 2022. (2022)
20

journal URL

Neurological manifestations of coronavirus infections - a systematic review.

Neurological manifestations of coronavirus infections - a systematic review.
Almqvist J, Granberg T, Tzortzakakis A, Klironomos S, Kollia E, Öhberg C, Martin R, Piehl F, Ouellette R, Ineichen BV
Annals of clinical and translational neurology, 7(10):2057-71. Epub 20200827. 2020. (2020)
21

journal URL

Magnetic resonance imaging in multiple sclerosis animal models: A systematic review, meta-analysis, and white paper.

Magnetic resonance imaging in multiple sclerosis animal models: A systematic review, meta-analysis, and white paper.
Ineichen BV, Sati P, Granberg T, Absinta M, Lee NJ, Lefeuvre JA, Reich DS
NeuroImage Clinical, 28:102371. Epub 20200802. 2020. (2020)
22

journal URL

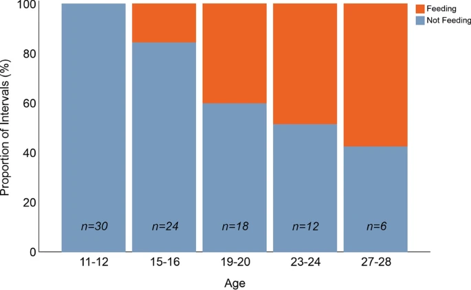
Effects of weaning age and housing conditions on phenotypic differences in mice

Effects of weaning age and housing conditions on phenotypic differences in mice
Bailoo J, Voelkl B, Varholick J, Novak J, Murphy E, Rosso M, Palme R, Würbel H
Scientific reports 10.1 (2020): 11684 (2020)
23

journal URL

Enlarged perivascular spaces in multiple sclerosis on magnetic resonance imaging: a systematic review and meta-analysis.

Enlarged perivascular spaces in multiple sclerosis on magnetic resonance imaging: a systematic review and meta-analysis.
Granberg T, Moridi T, Brand JS, Neumann S, Hlavica M, Piehl F, Ineichen BV
Journal of neurology, 267(11):3199-212. Epub 20200613. 2020. (2020)
24

journal URL

Remyelination promoting therapies in multiple sclerosis animal models: a systematic review and meta-analysis.

Remyelination promoting therapies in multiple sclerosis animal models: a systematic review and meta-analysis.
Hooijmans CR, Hlavica M, Schuler FAF, Good N, Good A, Baumgartner L, Galeno G, Schneider MP, Jung T, de Vries R, Ineichen BV
Scientific reports, 9(1):822. Epub 20190129. 2019. (2019)
25

journal URL

No matching items

Reviews

Quality, topics, and demographic trends of animal systematic reviews - an umbrella review.

Quality, topics, and demographic trends of animal systematic reviews - an umbrella review.
Hild BF, Brüschweiler D, Hild STK, Bugajska J, von Wyl V, Rosso M, Wever KE, Furrer E, Ineichen BV
J Transl Med 23(1): 21 (2025)
1

journal URL

Large language models to process, analyze, and synthesize biomedical texts: a scoping review

Large language models to process, analyze, and synthesize biomedical texts: a scoping review
Doneva SE, Qin S, Sick B, Ellendorff TR, Goldman JP, Schneider G, Ineichen BV
Discover Artificial Intelligence (2024)
2

journal URL

Misdiagnosis and underdiagnosis of multiple sclerosis: A systematic review and meta-analysis.

Misdiagnosis and underdiagnosis of multiple sclerosis: A systematic review and meta-analysis.
Zürrer WE, Cannon AE, Ilchenko D, Gaitán MI, Granberg T, Piehl F, Solomon AJ, Ineichen BV
Mult Scler 30(11-12): 1409-1422 (2024)
3

journal URL

Summer school for systematic reviews of animal studies: Fostering evidence-based and rigorous animal research.

Summer school for systematic reviews of animal studies: Fostering evidence-based and rigorous animal research.
Rosso M, Doneva SE, Howells DW, Leenaars CH, Ineichen BV
ALTEX, 41(1):131-134. 2024. (2024)
4

journal URL

From data deluge to publomics: How AI can transform animal research.

From data deluge to publomics: How AI can transform animal research.
Ineichen BV, Rosso M, Macleod MR
Lab Animal (NY), 52(10):213-214. 2023. (2023)
5

journal URL

Perivascular spaces and their role in neuroinflammation.

Perivascular spaces and their role in neuroinflammation.
Ineichen BV, Okar SV, Proulx ST, Engelhardt B, Lassmann H, Reich DS
Neuron,110(21):3566-81. 2022. (2022)
6

journal URL

Reliability of common mouse behavioural tests of anxiety: A systematic review and meta-analysis on the effects of anxiolytics

Reliability of common mouse behavioural tests of anxiety: A systematic review and meta-analysis on the effects of anxiolytics
Rosso M, Wirz R, Loretan A, Sutter N, Cunha C, Jaric I, Würbel H, Voelkl B
Neuroscience & Biobehavioral Reviews 143 (2022): 104928. (2022)
7

journal URL

New Prospects for Ultra-High-Field Magnetic Resonance Imaging in Multiple Sclerosis

New Prospects for Ultra-High-Field Magnetic Resonance Imaging in Multiple Sclerosis
Ineichen BV, Beck ES, Piccirelli M, Reich DS
Investigative Radiology, 56(11):773-84. 2021. (2021)
8

journal URL

Rituximab treatment for multiple sclerosis.

Rituximab treatment for multiple sclerosis.
Ineichen BV, Moridi T, Granberg T, Piehl F
Multiple sclerosis, 26(2):137-52. 2020. (2020)
9

journal URL

No matching items
  • Developed by Simona E. Doneva

© 2024 · Made with Quarto. Source code on Git

  • Center for Reproducible Science, University of Zurich